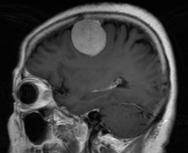
近日,二一五医院神经重症监护室谢国强主任团队成功应用3D打印导板技术,为一例患有颅内肿瘤患者规划了个体化手术方案,精确定位肿瘤部位,在显微镜下全切肿瘤。 63岁的李女士以“间断性头痛、头晕3周”主诉入院。头颅CT及MRI提示:右额叶占位病变,病灶呈均匀强化,可见脑膜尾征,考虑脑膜瘤。




颅内肿瘤的精准定位直接影响着手术中肿瘤的切除程度,进而决定了患者的预后。按照常规的术前定位方法,需要依据CT或MRI测量结果,在患者头部贴上相应数量的mark标志点,然后再次进行头颅CT或MRI扫描,根据扫描结果调整mark标志点。此方法存在定位不准确、增加病人检查费用、加重患者术前焦虑心情等弊端。
神经重症监护室谢国强主任团队全方位分析患者病情,利用在医学影像数据化处理方面的技术优势,为患者制定了个体化手术方案。使用3D slicer软件重建肿瘤并在体表投影,进而使用3D打印导板技术设计并制作3D打印模型,做到肿瘤的精准定位,在显微镜下全切肿瘤,最大限度减少手术创伤。术后,在神经重症监护室护理团队的精心护理下,患者神志清楚,语言及四肢活动正常,无任何神经功能障碍。
3D slicer软件重建肿瘤、设计打印导板:

手术切口设计:


术后CT:

陕西省核工业二一五医院神经重症监护室作为“数字神经外科与人工智能创新研究团队”,建有咸阳市“脑神经功能研究重点实验室”,着眼神经外科临床疑难问题,不断深入研究探索,已相继开展虚拟现实技术、低成本增强现实技术、3D打印技术及医学影像数字化处理技术,为临床医疗提供多模态评估、颅内病变定位、手术过程模拟等重要辅助。神经重症监护室始终秉承“全心全意为患者服务”的工作宗旨和“以尽可能小的创伤换取治愈或缓解疾病”的微创理念,已相继开展高血压脑出血、脑垂体瘤、脑积水的神经内镜微创治疗,为患者制定个体化诊疗方案,解除患者病痛,得到广大患者好评。