近日,陕西省核工业二一五医院神经外科团队历经8小时精细手术,成功为一名56岁男性患者完整切除直径约8厘米的巨大脑膜瘤。这颗如成人拳头大小的肿瘤已侵犯颅内重要静脉窦,手术难度极高。术后患者恢复良好,右侧肢体功能完好保留,目前已康复出院。

右手反复无力,竟是“拳头”大肿瘤作祟

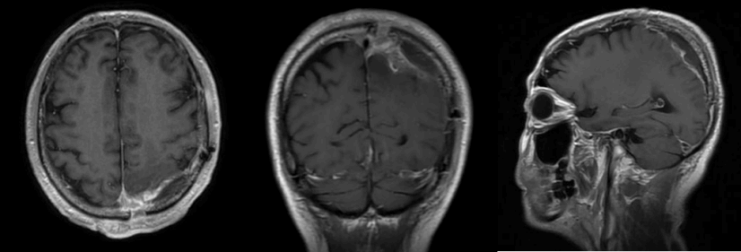
半年前,56岁的苏先生开始出现右手无力,每次发作约一天后自行缓解,无头痛头晕等不适,他便未予重视。直到数月后,同样的症状再次袭来,且右手活动明显受限,他这才意识到不对劲,立即赶往当地医院就诊。头颅磁共振检查的结果令人心惊——他的左侧头颅顶部有一个约6*8cm的巨大占位,近乎成年人的拳头大小,医生初步判断为脑膜瘤。

辗转多家医院后,苏先生带着最后的希望,来到我院神经外科。入院后进一步检查发现,这颗“拳头”已经压迫并侵袭了脑部重要的静脉血管——上矢状窦。神经外科千超主任医师、张毓主任医师及李海马博士团队迅速评估后指出,若不及时手术,肿瘤及周围水肿面积会继续扩大,最终将导致右侧肢体永久性偏瘫。开颅肿瘤切除术,是解除压迫、根治疾病的唯一选择!
决战手术台:8小时,一层一层剥离“拳头”

手术一切准备就绪,监护仪在滴答作响。无影灯下,千超主任凝神静气,手中的显微器械在方寸之间精准游走。手术的最大难点在于,肿瘤与脑组织、静脉窦粘连极紧,像树根盘绕在岩石上。分离时必须极尽仔细,稍有不慎,就可能引发大出血或是瘫痪。

团队采用显微外科技术,沿肿瘤边界层层推进、毫米级剥离。从清晨到午后,历时8小时,最后一缕瘤体被完整取下,所有人悬着的心才稍稍放下。术中出血控制理想,重要静脉窦完好保留。术后病理回报:良性脑膜瘤(WHO 1级)。
术后重拾力量,生活实现根本逆转

在神经外科护理团队的精心照护下,苏先生恢复顺利。复查显示肿瘤完整切除,无出血、无感染。他的右侧肢体力量逐日恢复,未出现任何瘫痪或癫痫后遗症。出院时,他已能自如行走、抬手,生活重回正轨。
此次巨大脑膜瘤的成功切除,是神经外科在高难度、高风险脑肿瘤显微手术领域的又一次实战检验。团队凭借精准的术前评估、娴熟的显微外科操作和严谨的围手术期管理,真正做到了以技术守护生命质量。神经外科将持续深耕微创神经外科技术,以更精进的医术、更温暖的人文关怀,守护每一位患者的脑部健康与生命尊严。