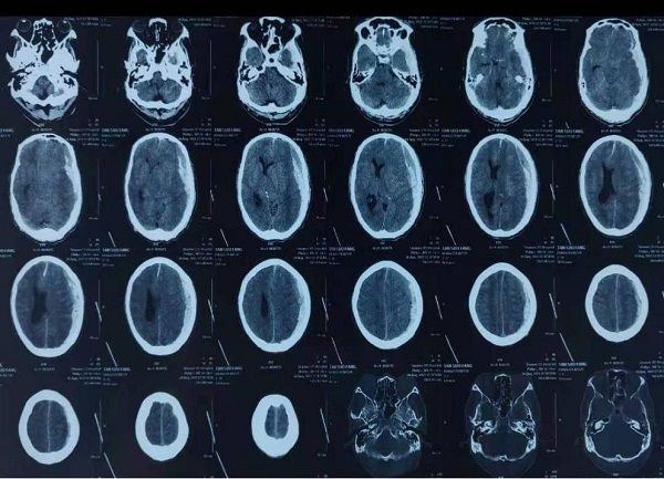
近日,由陕西省核工业二一五医院神经重症卒中监护室联合急诊科、输血科、检验科、麻醉科成功抢救一“脑疝”患者。 57岁谭先生3天前不慎摔伤,当时自觉无特殊不适感,并未在意,直至出现头痛、呕吐症状才就诊当地县医院,头颅CT检查提示急性硬膜下血肿,此时意识已处于深昏迷状态,双侧瞳孔大小不等。接到医院急诊的电话,神经重症卒中监护室谢国强副主任立即带领科室医生到急诊科,等待患者到来,患者入急诊科后,立即开通绿色通道,争分夺秒,为急诊手术做准备。此时头颅CT提示急性硬膜下血肿,量约100ml,诊断为脑疝。


脑疝为神经外科疾病中最凶险的一种,随时可出现呼吸、心跳骤停而导致死亡,此时患者呼吸困难、心率缓慢,需维持呼吸道通畅,手麻科第一时间赶到行气管插管,当一切准备就绪准备推往手术室时,检验科电话告知的血小板数目过低危急值报告阻碍了手术的进程,而凝血障碍大大增加了开颅手术风险,甚至在术中可能因出血无法控制而死亡。为改善患者凝血状态,输血科及时与中心血站联系,为患者争取2单位治疗量血小板,术中麻醉医师根据监测结果,又为患者配输冷沉淀2U,才使得手术顺利结束,患者最终脱离危险。


此次危重患者抢救再次体现了二一五医院多学科联合救治的综合能力,临床及辅助科室有条不紊的融洽协助大大提高了抢救成功率,为广大患者提供最放心、最优质的服务奠定了坚实基础。