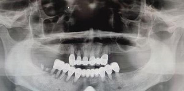
6月25日上午,患者王阿姨及家属带着锦旗来到二一五医院口腔科诊区,向口腔科金红主任精湛的医疗技术表达诚挚的谢意和认可。 3个月前,患者王阿姨以主诉“上下颌原有镶复烤瓷牙咀嚼无力2年”来到二一五医院口腔科就诊。

金红主任在对王阿姨进行口腔系统检查和X线辅助诊查后为患者制定了全面的诊疗方案,安抚患者情绪,合理安排时间,无痛化为患者依次拆除原有不良修复体、拔除无法保留牙齿。王阿姨自觉诊治过程舒适,消除了自己治牙及拔牙的恐惧心理,后续待拔牙创愈合良好后将为患者进行义齿修复。


随着口腔保健意识的逐年增长,口腔疾病的诊治和患者就诊的意愿也在逐步扩增,舒适化诊疗也变得越来越重要,二一五医院口腔科全体医务人员以“服务患者,舒适诊治”理念至上,努力提高业务水平,做好口腔宣教工作,提升百姓口腔健康理念。