近日,在二一五医院神经外科肖三潮主任医师的指导下,神经重症监护室谢国强主任医师团队为一例患有脑积水、颅骨缺损伴严重脑膨出患者规划了个体化手术方案,一期完成脑室镜下第三脑室底造瘘、透明隔造瘘脉络丛电灼、ommaya囊植入术+颅骨缺损数字钛网修补术。 38岁的郭先生以“脑出血术后颅骨缺损脑膨出10月”主诉入院,10个月前在西安某医院行脑出血去骨瓣减压血肿清除术,术后右额颞顶部颅骨缺损,脑膨出明显,幕上脑室扩大,合并脑穿通畸形,骨窗处脑组织软化坏死。
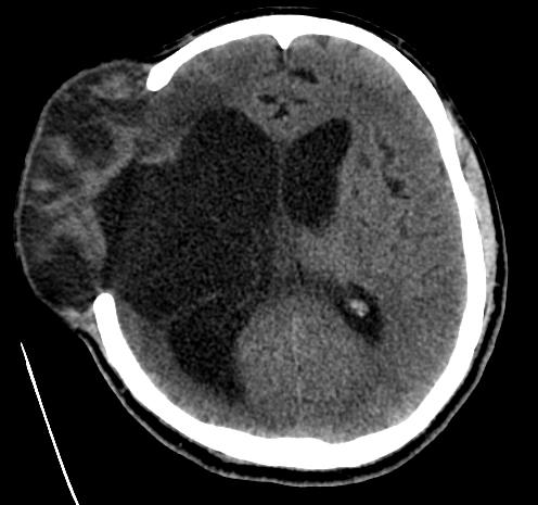
患者术前脑膨出情况及CT、MRI:


脑出血尤其是合并脑室出血的患者,由于血细胞崩解后使脑室壁产生纤维素样改变,同时含铁血黄色沉积导致脑脊液回流障碍,容易形成脑积水。脑积水的发生又进一步使病人变得反应迟钝、尿失禁、行走不稳等,严重影响脑出血术后患者的生活质量。脑穿通畸形合并脑膨出使脑皮层缺血软化坏死。进行颅骨修补术可以保持颅骨及颅腔的完整性,而严重的脑膨出给颅骨修补术带来了严峻的挑战。
按以往的经验,手术前先进行腰大池置管引流术,释放脑脊液缓解脑膨出,手术后再拔除腰大池引流管,但此方法不能解决脑积水问题,需要择期或同时进行脑室-腹腔分流术,手术创伤大,花费高,患者需要终生带分流管,同时存在分流过度、分流不足、分流管堵塞感染等风险导致手术失败。脑室镜下第三脑室底造瘘术更符合脑脊液正常生理状态,可有效维持颅内压力平衡和脑脊液的生理功能,术中打通脑室内分隔,同时进行脉络丛电灼,减少脑脊液分泌,术后经ommaya穿刺抽吸脑脊液,缓解脑积水,可谓“双保险”。手术创伤小、恢复快,费用低。
术前患者情况、颅骨及头皮三维重建:



手术情况:




术后患者情况、颅骨及头皮三维重建:



陕西省核工业二一五医院神经重症监护室作为“数字神经外科与人工智能创新研究团队”,建有咸阳市“脑神经功能研究重点实验室”,是陕西省保健学会神经外科专业委员会数字神经外科学组的挂靠单位。近年来着眼神经外科临床疑难问题,不断深入研究探索,已相继开展虚拟现实技术、低成本增强现实技术、3D打印技术及医学影像数字化处理技术,为临床医疗提供多模态评估、颅内病变定位、手术过程模拟等重要辅助。陕西省核工业二一五医院神经重症监护室将始终秉承“全心全意为患者服务”的工作宗旨和“以尽可能小的创伤换取治愈或缓解疾病”的微创理念,为患者制定个体化诊疗方案,解除患者病痛。
二一五医院神经重症监护室咨询电话:
029-32088358,029-32088341