近日,陕西省核工业二一五医院神外重症监护室又成功完成一例脑室镜下双膜三脑室底造瘘术+脑室内脉络丛电灼术。 
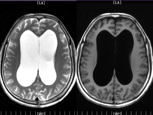
患者中年女性,以“间断头痛头晕5年余”入院,头颅MRI检查提示“幕上脑室系统扩大”。行磁共振3D FIESTA查可见“中脑导水管狭窄粘连,三脑室底受压下陷”。诊断为:梗阻性脑积水。 


术前,肖三潮主任及谢国强主任组织科室研究讨论后制定手术治疗方案,采用了微创脑室镜三脑室底造瘘术治疗方案,相比于脑脊液分流手术,此治疗方案,减少了术中损伤,同时达到治疗目的,又为患者节省了费用。术前采用的最小备皮法,在满足手术需要的同时,又尽可能避免术后对患者外貌产生的影响。

此次三脑室底造瘘术,对主刀医师的手术操作要求非常高,稍有不慎可能会引起脑干损伤及基底动脉破裂大出血,严重可能造成患者术后死亡。经过术中精细操作,成功完成三脑室底双层膜造瘘,同时无出血发生。术后患者意识清楚,问答切题,四肢活动正常,目前正在积极恢复中。
陕西省核工业二一五医院神经外科重症监护室始终秉承“全心全意为患者服务”的工作宗旨和“以尽可能小的创伤换取治愈或缓解疾病”的微创理念,已相继开展高血压脑出血、脑垂体瘤、脑积水的神经内镜微创治疗,以期为临床患者制定个体化诊疗方案、解除神经系统疾病困扰。