正如大家所知,通常情况下颅脑手术需要剃光所有头发,对于大多数女性和一些比较注意形象的患者来讲并不好接受,也会导致部分颅脑手术患者术后出现某些心理障碍和社会适应能力下降,经受身体和心理的“双重折磨”。
随着医疗设备、技术、理念和需求的不断发展,鞍区占位手术通过鼻腔手术已经逐渐成熟,完全不需要“剃光头”。最小备皮法既保证了手术需要,又同时保留了患者大部分头发,不影响术后外观。但对于真正的头部开颅手术,最小备皮法仍具有一定的技术挑 战。

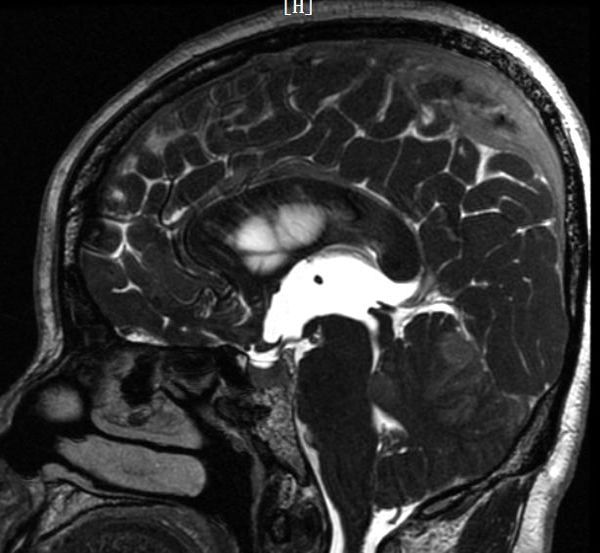
3月4日,陕西省核工业二一五医院神经外科重症监护室首次应用最小备皮法成功为一位39岁的女性患者实施脑室镜下三脑室底造瘘术。患者张女士近来频频头痛头晕,影响到了正常工作生活,经头颅MRI检查提示,“幕上脑室系统扩大,双侧脑室额角周围间质水肿”。磁共振3D FIESTA序列检查,可见三脑室、侧脑室扩大明显,中脑导水管下口阻塞、三脑室底受压下陷,诊断为梗阻性脑积水,毫无疑问需要手术治疗。


按照常规术前准备,首先需要“剃光头”。但作为一名女性理发师,头发对张女士的重要程度可想而知。了解情况后,神经外科肖三潮主任组织科室讨论,制定了脑室镜微创治疗方案,从备皮部位、范围、程度及术前准备、术中操作、术后管理等多个环节制定计划。3月4日,由神经外科重症监护室谢国强主任、肖学谦副主任医师在脑室镜监视下,顺利实施脑室镜下三脑室造瘘术及侧脑室内脉络丛电灼术。手术切口位于右侧额部,长约4cm,颅骨钻孔直径只有1cm大小。



手术历时25分钟,先后成功完成了脑室镜下三脑室底造瘘术、脑室内脉络丛电灼术,术中近乎零出血,达到了真正的内镜微侵袭治疗。术后1周,张女士头痛、头晕症状消失,双眼视力较术前明显好转。


相同的拍摄背景、相同的着装,重要的是相同的发型,容颜未变、美丽依然。陕西省核工业二一五医院神经外科重症监护室始终秉承“全心全意为患者服务”的工作宗旨和“以尽可能小的创伤换取治愈或缓解疾病”的微创理念,已相继开展高血压脑出血、脑垂体瘤、脑积水的神经内镜微创治疗,以期为临床患者制定个体化诊疗方案、解除神经系统疾病困扰。

