勇闯生命禁区
脑干出血是所有脑卒中中病死率最高,预后最差的疾病,占临床脑出血病例的10%左右,发病率虽然不高,但脑干出血起病急,病情凶险,预后较差,死亡率极高,传统大多数采用药物保守治疗手段,二一五医院神经外科重症监护室谢国强主任团队,在咸阳地区应用3D Slicer软件率先开展脑干出血的微创治疗,个性化定制手术方案,为脑干出血患者开辟了一条生命的绿色通道。
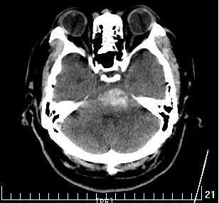
56岁张先生以“突发意识不清伴呕吐30分钟”入院,头颅CT提示:脑干出血6ml。查体:中昏迷,刺痛过伸,鼾式呼吸,双侧瞳孔不等大,左侧直径3mm,右侧直径约2mm,对光反应消失,四肢肌张力高,病理征阳性。

入科后,谢国强主任团队立即予以患者气管插管,持续呼吸机辅助呼吸,镇痛镇静治疗,仔细阅片后,急诊在局麻下行脑干出血穿刺置管引流术,术后引流管位置良好,予以尿激酶溶解血凝块,加快血肿引流。血肿清除效果良好。术后7天拔除头部引流管,12天撤除呼吸机,目前患者生命体征平稳,自动睁眼,正在进一步康复中。




脑干是生命中枢,手术治疗的危险性极大,二一五医院神经外科重症监护室以咸阳市数字神经外科实验室及脑出血微创治疗中心为依托,结合丰富的脑出血救治临床经验,时刻牢记职责,不忘使命,在生命的禁区负重前行,全力以赴为每一位患者的生命负责。